What Does Cancer Look Like On A Ct Scan With Contrast - Ct In Ovarian Cancer Staging How To Review And Report With Emphasis On Abdominal And Pelvic Disease For Surgical Planning Cancer Imaging Full Text / A breast ct scan can allow a doctor to correctly identify a lump in the breast.
Dapatkan link
Facebook
X
Pinterest
Email
Aplikasi Lainnya
What Does Cancer Look Like On A Ct Scan With Contrast - Ct In Ovarian Cancer Staging How To Review And Report With Emphasis On Abdominal And Pelvic Disease For Surgical Planning Cancer Imaging Full Text / A breast ct scan can allow a doctor to correctly identify a lump in the breast.. Following these steps is essential to ensuring your care team gets the images they need to get a good look at your cancer. Drink 8 to 24 oz. An arm or chest radiograph looks all the way through a body without being able to tell how deep anything is. The ct scanner used for my scans was an open device that looked much like the one pictured above.however, other cat scan machines are bigger contraptions that automatically move you into a long, narrow tunnel. A ct scan can detect potential cancer in a lung.
Also, clinical presentation also can help in the decision making proces. Ct scans can be misread or misinterpreted. Not all cancers show up on ct scans while ct scans can be effective at detecting cancer in lung nodules, there are forms of cancer that will not show on a ct scan. The ct scanner used for my scans was an open device that looked much like the one pictured above.however, other cat scan machines are bigger contraptions that automatically move you into a long, narrow tunnel. Ct scan can see very well if a cancer has spread.
Figures from www.medscape.org She is diagnosed with stage iv lung cancer with rib cage bone metastasis. One primary neck cancer that might be seen on a neck scan is thyroid cancer. If your doctor suspects that you have cancer near your abdomen, they may recommend an abdomen ct scan. My mom (age:64) asian diagnosed with lung cancer.summary: Its purpose is to provide digital images of the inside of the colon and document the size and location of abnormalities. Computed tomography (ct) scans detect tumors, but do not determine whether they are malignant or not. Don't eat or drink anything for 3 to 4 hours before your scan. Computed tomography scan, ct scan, cat scan, and spiral or helical ct.
One primary neck cancer that might be seen on a neck scan is thyroid cancer.
To help you prepare, here's a look at what to expect. Hello, thank you for using healthcaremagic to post your health query. Ct scan can see very well if a cancer has spread. A ct scan can help doctors find cancer and show things like a tumor's shape and size. The doctor ordered a ct scan and at some point, she commented that it would be good news if the scan did not show an obstruction, as this could possibly be a malignant mass—having originated as colon cancer but having infiltrated outside of the colon where a ct scan would pick it up. There are few features that can help distinguish on ct scan. They show the different appearances of acc lung mets. A ct scan can detect potential cancer in a lung. They may also use it to learn more about the cancer after they find it. An arm or chest radiograph looks all the way through a body without being able to tell how deep anything is. Acc has a tendency to spread to the lungs among other organs. According to hopkinsmedicine.org, a ct scan can be helpful in diagnosing some types of brain tumors, particularly those near or involving bone. the cat scan can also show bleeding, swelling, bone and tissue calcification that would be caused by a cancer. (turned out my father had diverticulitis.)
Ct (or cat) stands for computed (axial) tomography. (turned out my father had diverticulitis.) Drink 8 to 24 oz. Benefits of a colon ct scan over other investigative methods include its ease of use and the fact that sedation is not necessary. Its purpose is to provide digital images of the inside of the colon and document the size and location of abnormalities.
Ct Scans Are The Best Alternative To Colonoscopy To Investigate Bowel Cancer Imperial News Imperial College London from www.imperial.ac.uk Biopsy is one of the way to figure out the cause of findings on ct scan. A quick and painless lung ct scan can play a crucial role in catching lung cancer and other abnormalities earlier for better treatment options. The abdomen and pelvis contain the digestive organs as well as the urinary, endocrine, and reproductive systems. Before your scan you may need to drink either half a litre of water or a type of dye called a contrast medium. The scan is painless and takes about 10 to 30 minutes. This depends on the reason for your ct scan and which part of your body your doctor needs to see. The neck is an anatomically complicated region with many internal structures. Hello, thank you for using healthcaremagic to post your health query.
What the cat scan machine is like.
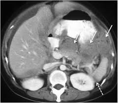
A ct scan can help doctors find cancer and show things like a tumor's shape and size. Benefits of a colon ct scan over other investigative methods include its ease of use and the fact that sedation is not necessary. Also, clinical presentation also can help in the decision making proces. The scan lets them:learn the cancer's stage. The mass also invades the anterior abdominal wall. Ct scans are most often an outpatient procedure. Hello, thank you for using healthcaremagic to post your health query. You may need to have a ct with contrast. What does cancer look like on ct scan. One primary neck cancer that might be seen on a neck scan is thyroid cancer. The computer puts them together to make a 3 dimensional (3d) image. What is a lung ct scan and how does it work? Abdominal scans can be used to help a doctor pinpoint the location of a tumor before a biopsy is.
Preparing for your ct scan before getting a ct scan, there are a few things you should do. What the cat scan machine is like. Abdominal scans can be used to help a doctor pinpoint the location of a tumor before a biopsy is. Ct scan can see very well if a cancer has spread. It takes pictures from different angles.
Http Pdf Posterng Netkey At Download Index Php Module Get Pdf By Id Poster Id 117724 from A ct scan can be wrong: One primary neck cancer that might be seen on a neck scan is thyroid cancer. Ct scan can see very well if a cancer has spread. Following these steps is essential to ensuring your care team gets the images they need to get a good look at your cancer. Don't eat or drink anything for 3 to 4 hours before your scan. A ct scan of this area may be done to look for abscesses, tumors, kidney stones, infections, or the cause of unexplained abdominal pain. If your doctor suspects that you have cancer near your abdomen, they may recommend an abdomen ct scan. The mass also invades the anterior abdominal wall.
Ct scans can produce false negatives and false positives.
What is a lung ct scan and how does it work? Benefits of a colon ct scan over other investigative methods include its ease of use and the fact that sedation is not necessary. Drink 8 to 24 oz. I was then directed to lay down on the table. Other names for this test: A ct scan can detect potential cancer in a lung. Imaging tests usually can't tell if a change has been caused by cancer. They show the different appearances of acc lung mets. Hello, thank you for using healthcaremagic to post your health query. What does cancer look like on ct scan. The doctor will then order additional testing to rule out or confirm a cancer diagnosis. A ct scan of this area may be done to look for abscesses, tumors, kidney stones, infections, or the cause of unexplained abdominal pain. If your doctor suspects that you have cancer near your abdomen, they may recommend an abdomen ct scan.
They wish each other by sending messages saying happy chhat puja. Explore snaps available in manjaro linux. 2880x1800 download wallpaper bitcoins on the american dollars, bitcoin, cryptocurrency, electronic money, money background, currency concepts, bitcoin exchange concepts, bitcoin gold coins for desktop with … 🙏🏻 national unity day images & rashtriya ekta diwas hd wallpapers … 1920x1280 bitcoin hd wallpaper and background image> download. Crypto Wallpapers Wallpaper Cave from wallpapercave.com People in bihar are very excited about this festival. 07.11.2021 · chhat puja is observed six days after diwali and falls on the sixth day of the kartik month of the hindu calendar. 26.10.2021 · sardar vallabhbhai patel's 146th birth anniversary will be celebrated as national unity day (rashtriya ekta diwas) 2021 on october 31. 🙏🏻 ...
What Colors Do Cancers Look Good In - This Is the One Thing You Need to Be Happy (According to ... - The muted colors act as their shell. . Even if you never sunburn, you can get skin cancer. What does breast cancer look like on a mammogram? Another type of skin cancer of the face is basal cell sclerosing. They could test it for h. With great colors flattering your skin, eyes and hair, your outfits will give confidence and vitality to your everyday looks. Lung cancer is the second most common form of cancer in men and women in the united states. People of all colors, including those with brown and black skin, get skin cancer. They may look like a pimple, mole, ulcer, scar, nodule, plaque, rash, pigmented, colored, etc. Icy pastels like silver, sky blue, light sunny yellow, and pink can also look wonderful. Green stands for liver cancer, lymphoma, and gall bladder cancer. 17 Best images ab...
How To Get A Cancer Man Out Of His Shell / Libra Man Cancer Woman Compatibility - Mystic Compatibility - She does not like hurry and bustle, so an. . By gia — march 30, 2016 9:29pm — 9 replies. It may take a bit for a cancer to come out of their protective shell. Show him you're not willing to give up on his love! If you seem angry or nag him in some way, he will curl up in his shell to wait out the storm. Cancer man is very reserved and likes to stay in his own protective shell. He'll come out of it at his own pace. If you meet a guy who is born under the cancer sun sign, there's a better than good chance he's a homebody. If your boyfriend has something to say regarding the point you are talking about, let him. He's not like other men who only look to prove their masculinity in bed. Ask cancer about his childhood or family if you want him to open up to you. Man Lo...
Komentar
Posting Komentar